Liver transplantation in a complex recipient anatomy
Estephania Navarro del Rio1, Mario Vilatobá Chapa1, Rodrigo Cruz Martínez1, Paulina Carpinteyro Espin1.
1Transplants, Instituto Nacional de Ciencias Médicas y Nutrición Salvador Zubirán, Mexico City, , Mexico
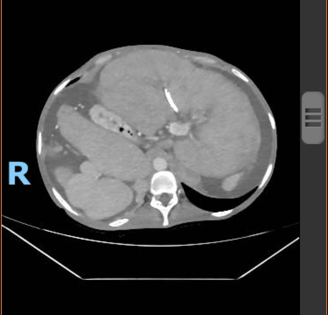
A 22-year-old man with situs inversus totalis and end-stage liver disease secondary to congenital biliary atresia and previous Kasai portoenterostomy at two months who was referred to our center with portal hypertensive bleeding, recurrent cholangitis, and hepatocellular carcinoma. He completed the liver transplant protocol. Preoperative liver angiotomography revealed, besides the mirror image orientation of the viscera and dextrocardia, inferior vena cava (IVC) and portal vein (PV) with good patency, splenorenal shunt, collateral circulation, and common hepatic artery arising from the superior mesenteric artery. A suitable 59-year-old cadaveric male donor with no anatomic variation was accepted. He underwent to liver transplant, his BMI was 16.7kg/m2, MELD and Child-Pugh scores were 24 and 7 points. The donor's liver weighed 1725g.

A bilateral subcostal incision was made; after extensive lysis of adhesions, the hepatectomy was performed with preservation of the recipient's IVC. The donor's liver was placed on the left side rotated 90º clockwis; this allowed perfect alignment of the recipient and dolor hila. The donor infrahepatic vena cava was anastomosed end-to-side to recipient IVC previous closing of the suprahepatic vena cava. The artery and PV were anastomosed end-to-end without vessel grafts. A choledocojejunostomy was performed using the previous Roux-en-Y. The patient had satisfactory evolution and was discharged on the 8th postoperative day with normal liver function.



right-click to download